https://chechilas.com/dandansazi-makariyan/دندانسازی-مهران-مکاریان
ترمیم دندان با دنچر در بوشهر
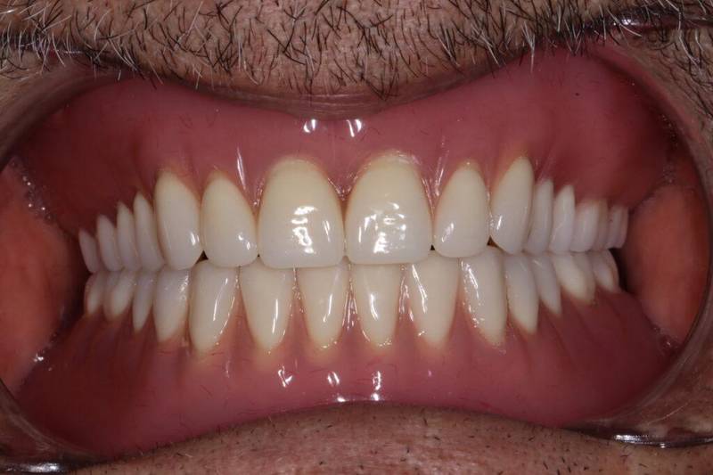
دنچر کامل فک بالا و پایین
دنچر کامل برای فک بالا و پایین یک راه حل ایدهآل برای افرادی است که تمامی دندانهای خود را از دست دادهاند. این دندانهای مصنوعی بهطور کامل فک را پوشش میدهند و میتوانند به بازگرداندن عملکرد طبیعی دهان و زیبایی لبخند کمک کنند. دنچرها به راحتی قابل تنظیم هستند و میتوانند اعتماد به نفس شما را بهبود بخشند. برای مشاوره و انتخاب بهترین دنچر برای فک بالا و پایین خود، با ما تماس بگیرید.
دنچر کامل برای فک بالا و پایین یک راه حل ایدهآل برای افرادی است که تمامی دندانهای خود را از دست دادهاند. این دندانهای مصنوعی بهطور کامل فک را پوشش میدهند و میتوانند به بازگرداندن عملکرد طبیعی دهان و زیبایی لبخند کمک کنند. دنچرها به راحتی قابل تنظیم هستند و میتوانند اعتماد به نفس شما را بهبود بخشند. برای مشاوره و انتخاب بهترین دنچر برای فک بالا و پایین خود، با ما تماس بگیرید.

دندانسازی مهران مکاریان
بوشهر -
بوشهر
مهران مکاریان
آدرس
بوشهر,
بوشهر, بلوار شهید چمران، نبش ساحل22، ساختمان دلفین، طبقه 1، واحد1
راه های ارتباطی