جستجوی شهر

هزینه تعویض لثه های قدیمی با لثه های جدید

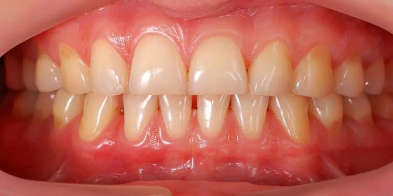
تعویض لثه‌های قدیمی با لثه‌های جدید، که به عنوان ترمیم لثه یا جراحی لثه نیز شناخته می‌شود، یک رویکرد پزشکی است که ممکن است در مواردی مشخص نیاز باشد. این رویکرد معمولاً برای بهبود بهداشت لثه‌ها، درمان بیماری‌های لثه، یا بهبود ظاهر و عملکرد لثه‌ها انجام می‌شود. در زیر، به برخی از مواردی که ممکن است نیاز به ترمیم لثه داشته باشند، اشاره شده است:



  1. پزشکی لثه (جراحی لثه): در مواردی که لثه‌ها به عنوان نتیجه بیماری‌های لثه، مثل التهاب لثه یا جیوه‌ها (کیست‌های لثه) آسیب دیده باشند، پزشک ممکن است به جراحی لثه روی آورد. این شامل برداشتن بافت‌های آسیب‌دیده، پاکسازی جیوه‌ها، و بازسازی لثه می‌شود.

  2. پیوند لثه: در مواردی که لثه‌ها به حدی خورده یا کم شده‌اند، پزشک ممکن است از جراحی پیوند لثه استفاده کند. در این فرایند، بافت لثه از منطقه دیگری از دهان یا مواردی که به عنوان منبع مناسب شناخته شده‌اند، به ناحیه نیازمند تعویض انتقال می‌یابد.

  3. ترمیم جراحی لثه: در مواردی که لثه به دلیل آسیب یا جراحات دیگر نیاز به ترمیم دارد، جراحی لثه ممکن است بهبود وضعیت لثه و ظاهر آن را فراهم کند.

  4. ترمیم زیبایی لثه: در برخی از موارد، افراد ممکن است به دلیل مشکلات ظاهری لثه‌ها، مثل لثه‌های بیش از حد نمایان یا مسائل پیچیده دیگر، به ترمیم لثه جهت بهبود ظاهر جلوه لبخند خود بپردازند.


هر یک از این روش‌ها نیازمند ارزیابی دقیق توسط یک دندان‌پزشک متخصص است. او می‌تواند شما را راهنمایی کند که کدام رویکرد بهترین گزینه برای شرایط شماست.


فروشگاه کلمات کلیدی چچیلاس
فروشگاه کلمات کلیدی چچیلاس
گیلان - رشت
آدرس
گیلان, رشت, رشت - بلوار شهید انصاری - روبروی مدیریت شعب بانک ملی - ساختمان البرز - طبقه 4 - واحد 15
راه های ارتباطی